内視鏡治療
内視鏡治療とは
早期の食道がん・胃がん・大腸がんに対しては、手術ではなく内視鏡を用いた切除も行なわれています。
これも患者さんの身体の負担軽減につながっています。
観察部位の近くから高周波数の超音波をあてられるため高い識別能力の超音波観察が可能になっています。
これも患者さんの身体の負担軽減につながっています。
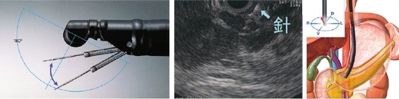
1.超音波内視鏡
内視鏡に超音波検査のプローブ(探触子)がついているものが超音波内視鏡(EUS)です。観察部位の近くから高周波数の超音波をあてられるため高い識別能力の超音波観察が可能になっています。
2.内視鏡的粘膜下層剥離術
ESD とは食道、胃などの粘膜層にとどまる早期がんに対して、内視鏡下で専用の処置具を用いて剥離切除するものです。
最新内視鏡検査
1.小腸カプセル内視鏡検査
大きめのビタミン剤程度の大きさのカプセルの中に内視鏡が組み込まれており、これを飲むと胃腸の中を撮影してくれる優れものです。保険が適応されるようになり、これまで検査が難しかった小腸疾患の診断に期待が集まっています。
2.小腸内視鏡検査
実際に小腸内に内視鏡を入れることができるように工夫がされた内視鏡です。通常の胃カメラなどより長く先端に風船が2つついているのが特徴です。カプセル内視鏡ではできない組織採取なども可能です。
3.ガイドシース併用気管支腔内超音波断層法
X 線透視では縦隔や横隔膜に隠れる病変、小さい陰影などの位置確認は困難であり、同一の気管支に複数回鉗子やブラシを挿入することが困難でした。
EBUS-GS は外径1.4mm の細径超音波プローブにガイドシースをかぶせて病変まで誘導しEBUS にて病変に到達したことを確認後、プローブのみを抜去し残したガイドシースに生検鉗子やブラシを挿入することで同一箇所で何度でも生検や擦過が可能となります。
EBUS-GS は外径1.4mm の細径超音波プローブにガイドシースをかぶせて病変まで誘導しEBUS にて病変に到達したことを確認後、プローブのみを抜去し残したガイドシースに生検鉗子やブラシを挿入することで同一箇所で何度でも生検や擦過が可能となります。

