心臓・血管の超音波検査について
心臓超音波検査ではどのようなことを検査しているか?
心臓は血液を全身に送り出すポンプの働きをしています。心臓超音波検査では心臓の大きさ・形だけでなく心臓や弁の動き、血液の流れなどを評価します。
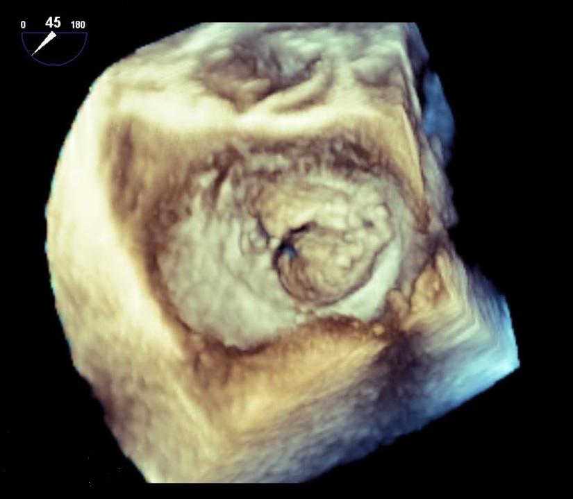
基本は二次元の断層図で評価しますが、必要に応じて三次元の立体像で評価し、手術前の検討などに役立てています。
次の図は代表的な断面の模式図及び超音波画像です。
この例ひとつでも沢山の項目を観察・計測し、異常の有無を評価しているのがわかると思います。
基本は二次元の断層図で評価しますが、必要に応じて三次元の立体像で評価し、手術前の検討などに役立てています。
次の図は代表的な断面の模式図及び超音波画像です。
この例ひとつでも沢山の項目を観察・計測し、異常の有無を評価しているのがわかると思います。
この画像で検査している項目の一例です。
実際にはより多く、細かな内容を観察しています。
心臓手術の前には3D経食道エコー図法も駆使し、手術精度向上に寄与しています。
血管超音波検査ではどのようなことを検査しているか?
次の画像は血管超音波検査の一つである頸動脈の画像で、模式図・超音波画像断層図及び血流波形です。
この画像はもっとも病変が生じやすいといわれる「分岐部」で、血管が枝分かれしている部分です。
その他に手足の動脈や静脈、腎臓の動脈も観察します。
手足の動脈や静脈は非常に範囲が広く、病変が広範囲にわたることがあり検査に時間がかかる場合があります。
腎動脈は超音波検査で描出しにくい部分にある数mmの動脈を観察するため、動脈の走行や腸管ガス、体格などによっては観察がしにくく、検査に時間がかかることがあります。
この画像はもっとも病変が生じやすいといわれる「分岐部」で、血管が枝分かれしている部分です。
その他に手足の動脈や静脈、腎臓の動脈も観察します。
手足の動脈や静脈は非常に範囲が広く、病変が広範囲にわたることがあり検査に時間がかかる場合があります。
腎動脈は超音波検査で描出しにくい部分にある数mmの動脈を観察するため、動脈の走行や腸管ガス、体格などによっては観察がしにくく、検査に時間がかかることがあります。
この画像で検査している項目の一例です。
実際にはより多く、細かな内容を観察しています。
実際にはより多く、細かな内容を観察しています。
※比べやすいように黄線を入れています。
実際は白黒の画像です。
実際は白黒の画像です。

