生理機能検査
- 超音波検査
- 心臓超音波検査
- 血管超音波検査
- 腹部超音波検査
- 乳腺超音波検査
- 甲状腺超音波検査
- 頚部超音波検査
- 心電図検査
- 血圧脈波検査、皮膚灌流圧検査、体液量検査
- 肺機能検査、呼気NO測定検査
- 睡眠ポリソムノグラフィー検査
- 脳波検査
- 神経伝導速度検査
- 聴力検査
生理検査は患者さまに直接接して、体の異常を見つけ出す検査です。さまざまな検査があり時間のかかる検査や患者さまのご協力が必要な検査もあります。
その意義をご理解いただき検査を受けて頂けると幸いです。
その意義をご理解いただき検査を受けて頂けると幸いです。
超音波検査
超音波検査とは
超音波検査は人に聞こえない数MHz~10数MHzの高い周波数の音波を使い、身体の中の様々な臓器を調べる検査です。対象となる臓器は数多く、代表的なものは肝臓・胆のう・膵臓・腎臓といったお腹の中の臓器全般、心臓や血管・乳腺・甲状腺などが挙げられます。
超音波検査の利点
非常に多くの利点があります。超音波検査はレントゲン(X線)やCTのように放射線を使用しないため繰り返し行えます。痛みもなく安全な検査なので産婦人科の診察でお腹の中の赤ちゃんを検査するのに使われていることはよく知られていると思います。
また、リアルタイムに血液の流れや臓器の動きをとらえることができます。これはCTやMRIにはない利点で、リアルタイム性というのは超音波検査が最も得意とすることです。
その他にも多くの利点があり、現在の医療には欠かせない検査となっています。
超音波検査の問題点
超音波検査は非常に優れた画像診断ですが、いくつかの問題点があります。まず、音(超音波)の反射波を使って画像化しているため気体や骨などの超音波が透過できない部位や臓器では検査ができません。
次に、一つの検査に時間がかかります。一人ひとりで病態や検査目的が異なるため、それに合った内容や計測項目を考えながら検査を進めていくことになります。また、心臓は気体を多く含む肺に囲まれた臓器です。そのため、肺の隙間からしか観察できず、人によっては見えにくく、それが検査時間に影響することもあります。
超音波検査を受ける方へ
超音波検査を受ける方は、何らかの異常が疑われたり、指摘されたりした方がほとんどです。私たちは医師がどのような意図をもって検査を依頼したかを理解し、その意図に答える検査を行うよう心がけています。また、その結果次第で治療方針が変わることもあるため、時間をかけて検査し、正確な結果を報告するようにしています。心臓超音波検査
経胸壁心臓超音波検査
心臓は血液を全身に送り出すポンプの働きをしています。心臓超音波検査では心臓の大きさ・形だけてなく心臓や弁の動き、血液の流れなどを評価します。経食道心臓超音波検査
胃カメラと同じ要領で口から超音波探触子を飲み、食道の中から心臓を観察します。通常の心臓超音波検査よりも詳細な観察をすることができます。・詳細は「心臓・血管の超音波検査について」へ
血管超音波検査
頸動脈超音波検査
脳へ向かう血管(頸動脈・椎骨動脈)を超音波で観察します。首の部分のみの観察になりますが、全身の動脈の中でもっとも詳細な動脈硬化の観察ができます。下肢(上肢)動脈超音波検査
脚の動脈の狭窄や閉塞のために歩行時に脚が痛くなることがあります。これを超音波で観察したり、血流を波形で評価したりします。下肢静脈超音波検査
エコノミークラス症候群の原因となる静脈血栓や、静脈瘤の原因となる静脈弁逆流を超音波にて調べます。静脈血栓では大きさや状態を観察して治療の進み具合を判断し、静脈瘤では手術の前にしっかり超音波で評価することにより、より確実な治療に結びつけることができます。腎動脈超音波検査
高血圧の人の中には、腎動脈(大動脈から腎臓へ向かう動脈)に狭窄があることが原因の場合があります。この狭窄を超音波検査で見つけたり、腎臓の中の血流を評価したりします。・詳細は「心臓・血管の超音波検査について」へ
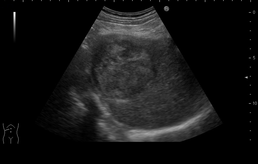
腹部超音波検査
肝臓、胆嚢、膵臓、腎臓、脾臓、大動脈、消化管、骨盤腔内を描出し、臓器の大きさや形態、実質を観察します。腫瘤があれば良悪性の鑑別をしたり、周囲の変化などを観察します。
乳腺超音波検査
乳腺内の腫瘤や、乳腺構造の変化などを観察します。腋窩のリンパ節もチェックします。乳腺検査は女性技師が担当します。
必要に応じて、外科のドクターによる超音波ガイド下針生検を行っています。
必要に応じて、外科のドクターによる超音波ガイド下針生検を行っています。
-
乳癌のエコー像
-
硬さをみるエラストグラフィー
-
血流をみるカラードプラ
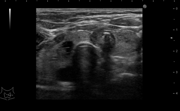
甲状腺超音波検査
甲状腺の大きさや形態、実質に変化がないかを観察します。
内部に腫瘤があれば、超音波上での良悪性の鑑別をします。
内部に腫瘤があれば、超音波上での良悪性の鑑別をします。
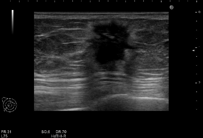
頚部超音波検査
耳下腺、舌下腺の観察や、頚部のリンパ節をチェックします。
心電図検査
心電図とは心筋細胞の電気的活動を波形として記録したものです。
不整脈や虚血性心疾患(心筋梗塞や狭心症)の診断を行います。
トレッドミルなどの運動負荷検査は、運動負荷により安静時には認められない虚血性心疾患を見つけます。
微小心電図検査は、通常の心電図では導出できない微小な遅延電位を調べる検査で、突然死や致死性心室不整脈の予測をします。
24時間心電図検査(ホルター心電図)は、1回の安静心電図では診断がつかない時に、長時間記録することで不整脈や狭心症の有無を調べます。
不整脈や虚血性心疾患(心筋梗塞や狭心症)の診断を行います。
トレッドミルなどの運動負荷検査は、運動負荷により安静時には認められない虚血性心疾患を見つけます。
微小心電図検査は、通常の心電図では導出できない微小な遅延電位を調べる検査で、突然死や致死性心室不整脈の予測をします。
24時間心電図検査(ホルター心電図)は、1回の安静心電図では診断がつかない時に、長時間記録することで不整脈や狭心症の有無を調べます。
技師からのひとこと
安静心電図検査は短時間で検査ができ(5分程度)、 心臓のたくさんの情報を知ることができます。
-
トレッドミル検査
血圧脈波検査、皮膚灌流圧検査、体液量検査
血圧脈波検査:血管の硬さ(CAVI)や詰まり(ABI)を検査し、血管相当年齢を出しています。
皮膚還流圧測定検査:レーザードプラー法により、下肢閉塞性動脈硬化症の診断に役立てています。
体液量検査:体水分量、筋肉量、体脂肪量などの体成分を測定します。
皮膚還流圧測定検査:レーザードプラー法により、下肢閉塞性動脈硬化症の診断に役立てています。
体液量検査:体水分量、筋肉量、体脂肪量などの体成分を測定します。
技師からのひとこと
両手首と両足首の血圧を同時に測定します。同時に圧迫しますが、普段の血圧測定と同じですので楽にしていて下さい。
肺機能検査、呼気NO測定検査
慢性閉塞性肺疾患(COPD)、肺線維症などの呼吸器疾患や手術前検査として、肺活量をスパイロメーターで測定します。
IOSという機器では、呼吸抵抗を測定します。
気管支拡張剤吸入前後に、肺活量と呼吸抵抗を測定する、喘息の検査を行っています。
プロボコリン吸入液を使って気道過敏性を調べるという、喘息の詳しい検査もしています。
呼気NO(一酸化窒素濃度)測定は喘息などの気道炎症の治療のモニタリングとして検査します。
IOSという機器では、呼吸抵抗を測定します。
気管支拡張剤吸入前後に、肺活量と呼吸抵抗を測定する、喘息の検査を行っています。
プロボコリン吸入液を使って気道過敏性を調べるという、喘息の詳しい検査もしています。
呼気NO(一酸化窒素濃度)測定は喘息などの気道炎症の治療のモニタリングとして検査します。
技師からのひとこと
息を大きく吸ったり、強く吐き出したり、最後まで吐ききってもらったり、タイミングが難しい検査です。何度か練習をして結果を出します。
睡眠ポリソムノグラフィー検査
一晩入院し、いろいろなセンサーをつけて、睡眠中の脳波、眼球運動、筋電図、呼吸筋の動き、気流、動脈血酸素飽和度を連続的に同時記録し、睡眠時無呼吸症候群の診断や原因の鑑別をします。
技師からのひとこと
たくさんのセンサーを付けるので眠れるのかと心配になりますが、皆さん睡眠されて、検査ができています。
技師からのひとこと
たくさんのセンサーを付けるので眠れるのかと心配になりますが、皆さん睡眠されて、検査ができています。
脳波検査
てんかんの診断や治療経過、意識障害や脳死判定に活用されています。
技師からのひとこと
睡眠時も検査するので検査時間は一時間ほどかかります。
神経伝導速度検査
手や足の末梢神経に電気刺激をあてて興奮させ、神経を伝わっていく速さや波形を記録します。
手根管症候群や肘部管症候群など、手や足のしびれの原因を調べます。
手根管症候群や肘部管症候群など、手や足のしびれの原因を調べます。
技師からのひとこと
電気刺激なので低周波治療のように勝手に手や足が動いたりしますが、画像では判定できない神経を調べるのに有用な検査です。
聴力検査
難聴やめまいの際に、聞こえを調べます。125Hz(低音)~8000Hz(高音)まで周波数別に検査します。骨の振動で聞こえる骨導聴力も調べます。
技師からのひとこと
集中して小さな音を聴くのは結構疲れると思います。頑張りましょう。
乳幼児には、遊戯聴力検査や聴性脳幹反応検査を行っています。
聴性脳幹反応は音刺激を与えた時に出現する脳幹部聴覚由来の反応波です。眠っている状態で検査でき、脳死の判定にも用いられます。
聴性脳幹反応は音刺激を与えた時に出現する脳幹部聴覚由来の反応波です。眠っている状態で検査でき、脳死の判定にも用いられます。

